Významné změny v této verzi
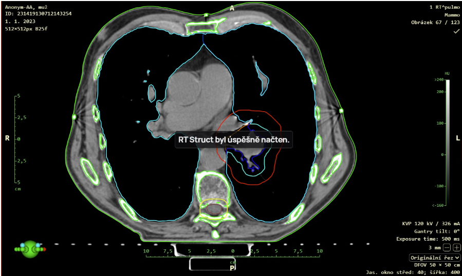
- Podpora zobrazení RTSTRUCT pomocí funkce „Načíst RT Struct“ je nyní možné zobrazit data modality RTS (Radiotherapy Structure) například vytvořený plán radioterapie nad sérií snímků modality CT. Tuto funkci vyvoláte kliknutím pravým tlačítkem myši na data RTS zobrazené v pracovní sadě snímků, čímž vyvoláte kontextové menu a následně zvolíte akci „Načíst RT Struct“.


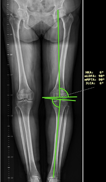
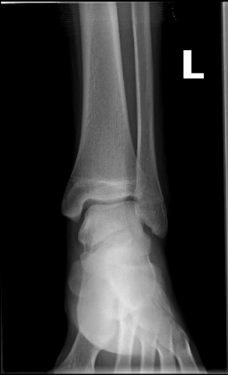
- Úhly dolní končetiny jsou v této verzi DICOM prohlížeče upraveny a nyní zobrazují také laterality úhlů. Lateralitu úhlů je možné určit pomocí pravého postranního panelu v „Pracovní sadě nástrojů měření“, rozbalovacího menu „Lateralita“ v záložce „Úhly dolní končetiny“. Po naměření úhlů dolní končetiny jsou zobrazeny tyto úhly:
- HKA – hip-knee-ankle angle
- mLDFA – mechanical lateral distal femoral angle
- mPTA – medial proximal tibial angle
- JLCA – joint line convergence angle


- Automatické sbalování studií slouží pro automatické sbalení více otevřených studií „Pracovní sady snímků“ v jednom okně. Způsob automatického sbalování studií je možné zvolit pomocí menu, které vyvoláte kliknutím na pole „Sbalování studií“ v „Konfiguraci pracovní sady“. Možné způsoby sbalování studií:
- Manuální – rozbalení/sbalení studie v „Pracovní sadě snímků“ je umožněno pouze zvolením akce „Rozbalit/sbalit“ z kontextového menu pracovní sady prohlížeče vyvolaného pravým tlačítkem myši, či z volitelného pole pro přidání akce umístěné napravo od informací o studii v „Pracovní sadě snímků“
- Manuální (sdílené) – toto nastavení je obdobné jako předchozí „Manuální“, avšak v případě vícemonitorové stanice bude rozbalení/sbalení aplikováno ve všech „Pracovních sadách snímků“ všech monitorů
- Podle aktivní studie – rozbalena bude pouze studie, která je zobrazena v „Okně pro zobrazení obrazových dat“ a všechny ostatní budou automaticky sbaleny


- Elektronická tužka tento digitalizační nástroj slouží pro zakreslení objektů do upravovaného snímku, či videa, jedná se o volné kreslení, elipsu, či šipku s popisem.

- Podpora rotace HP v případě více nastavených Hanging Protokolů, např. běžně u mamografických snímků, je nyní možné procházet předvolené HP ve smyčce v rámci skupiny HP bez přepnutí na další skupinu HP, popřípadě takto procházet skupiny HP při použití nástroje „Přepnout na následující HP/fázi HP“, či klávesové zkratky. Tuto funkci naleznete v pravé postranní liště „Pracovní sady nástrojů zobrazení“.
- Nový konfigurační dialog pro nastavení monitorů v této verzi produktu byl upraven konfigurační nástroj pro úpravu zobrazení uživatelského rozhraní systému a správu připojených monitorů.

Informace o vydání
- DPGW 1.12.09-REL (12. května 2025)









































